客户案例
客户案例
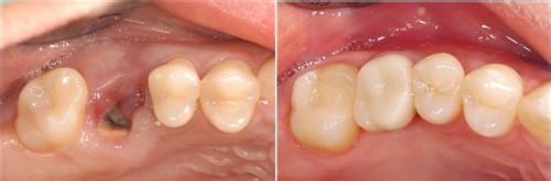
客户实证之六
[浏览次数:]
CopyRights@2016-2026 版权所有 康美义齿
地址:湖南省株洲市栗雨工业园中小企业促进园A5栋3楼